ПРО НАС
СОВРЕМЕННАЯ СТОМАТОЛОГИЯ НА ШОТА РУСТАВЕЛИ 20 находится в
удобном месторасположение в центре Киева.
Клиника работает с 1997 года и предоставляет весь спектр стоматологических услуг - от детской стоматологии до имплантации и лечения под микроскопом.
Основные принципы работы, заложенные еще при открытии и остаются неизменными - это высокое качество и лояльность цен.
Благодаря постоянному развитию и совершенствованию, стоматологический центр «Триширо» уверенно занимает первые позиции в ряду лучших клиник Киева. Мы всегда стараемся чтобы лечение проходило безболезненно и наши пациенты уходили довольными.
Клиника сотрудничает с более 25 страховыми компаниями, так что вы всегда можете обратиться к нам за помощью, если у Вас есть страховой полис. Ждем Вас на прием и рады помочь!

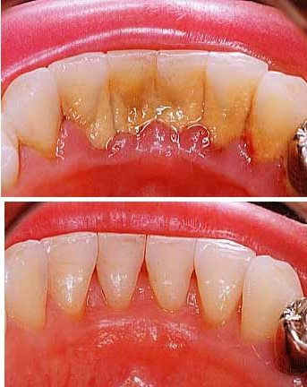
НАШІ ПОСЛУГИ
Швидка допомога
28
Бльше 10000
40
Років роботи
здорових посмішок
сертификатів та грамот
Наши врачі



Стоматолог - терапевт
Бирсан
Юлия Александровна
Главный врач
Шинчуковский
Игорь Анатольевич
Стоматолог - ортопед
Падалко
Владимир Игоревич


Стоматолог - терапевт
Севрук
Ольга Владиславовна
Стоматолог - терапевт
Изюк
Светлана Анатольевна

Тел: +380(67)8382523
+380(44)2876637
Наш адрес
Киев, улица Шота Руставели 20 (Печерский Район)
ТОЛЬКО ПО ПРЕДВАРИТЕЛЬНОЙ ЗАПИСИ ПО ТЕЛЕФОНУ
.jpg)
















